Добро пожаловать в фотогалерею сайта Dirt.ru!

Экстремальный горный велосипед




Скоро
Нет событий в ближайшие 30 дней
все соревнования ›
Реклама










Домой :: Вход
Последние добавления :: Часто просматриваемые :: Лучшие по рейтингу :: Поиск

Главная > Железки > Поломки и падения
Нажмите, чтобы посмотреть в полный размер
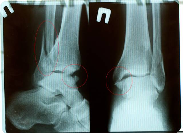
Перелом лодыжек
Перелетел стол, как следствие грохнулся на плошмяк с приличной высоты.
-=MASKULA_BASKULA=- [Янв 22, 2010 в 12:46 ]
ОООоооооо жесть.... выздоравливай....
riget [Янв 22, 2010 в 12:48 ]
о боже какт ты так умудрился?
Евгений Борисович [Янв 22, 2010 в 12:48 ]
Сам частенько при дропоплосакачах страдал лодыжками и запястями, но до переломов, слава боту, не доходило. Здоровья и зхдоровья, скорейшего.
unreal [Янв 22, 2010 в 01:26 ]
У меня примерно такой же был. 3 месяца и всё ок=) Выздоравливай.
Wild Cat [Янв 22, 2010 в 01:28 ]
Уууу, травма на редкость паскудная. Главное чтоб все отломки точно на место поставили. Скорейшего выздоровления!
П.С. У кого-то может и за 3 месяца всё прошло, у меня до сих пор её последствия сказываются (более 13 лет прошло)
косогор [Янв 22, 2010 в 02:09 ]
все норм сростется :) выздоравливай))
HusstfeleRR [Янв 22, 2010 в 02:19 ]
2010 объявлен годом лодышек?Поправляйся!
xep_c_ropbi [Янв 22, 2010 в 05:42 ]
скажем так - ты отделался легче чем я!:) в 3 раза:)) поправляйся
Macrulez [Янв 22, 2010 в 06:07 ]
Большое спасибо всем за пожелания. На следующей неделе будет консультация с хорошим доктором травматологом, будем думать, что и как оперировать, если конечно это нужно. На данный момент изломы не мешают работе сустава и они срастаются.
косогор [Янв 22, 2010 в 06:40 ]
да. это тебе не байк. сломался перекл - купил новый))) Вот почему не так. Заказали бы сейчас с чейна лодыжку :))
HusstfeleRR [Янв 22, 2010 в 06:42 ]
Ну лет эдак через 20 так и будет :D
А организация чейн станет владыкой вселенной мухаха *скрылся в темноте*
Macrulez [Янв 22, 2010 в 06:48 ]
to riget - перелетел стол, с большой высоты пришел на плоскость, после отработки подвески (вилки) спрыгнул с байка назад, правую ногу не успел переместить вперед, сел жопой на пятку, вывех стопы и заодно перелом лодыжек.
|{осяк [Янв 23, 2010 в 12:17 ]
Ну чтоб без осложнений обошлось! После снятия гипса физиотерапию или еще какие нит процедуры для восстановление подвижности сустава. У самого была правая со смещением, болит при нагрузке и на погоду теперь....
Wild Cat [Янв 23, 2010 в 03:26 ]
Готовься к операции, репозицию латеральной лодыжки консервативным путём будет ой как сложно произвести ;)
Macrulez [Янв 23, 2010 в 07:53 ]
to Wild Cat - через неделю консультация с врачом, но я то же склоняюсь к тому, что будут оперировать.
BarЫshnikow [Янв 25, 2010 в 01:34 ]
МдЯЯЯЯЯ)
chrome-t [Янв 25, 2010 в 11:45 ]
поправляйся!
Motor [Янв 26, 2010 в 07:09 ]
пистец! лечись
Macrulez [Фев 16, 2010 в 09:07 ]
Все сраслось, кости сами встали на свои места, оперировать не пришлось. Всем спасибо за пожелания =)