Добро пожаловать в фотогалерею сайта Dirt.ru!

Экстремальный горный велосипед




Скоро
Нет событий в ближайшие 30 дней
все соревнования ›
Реклама










Домой :: Вход
Последние добавления :: Часто просматриваемые :: Лучшие по рейтингу :: Поиск

Главная > Железки > Поломки и падения

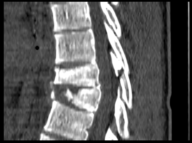
Воткнулся головой
Недолетел верблюда - не хватило скорости, рухнул как мешок с г..ном.
Полтора месяца в койке, почти три - в корсете и нельзя ничего.
В итоге не срастается и будут ставить пластину.
pizza [Дек 24, 2013 в 02:29 ]
жесть((( Поправляйся быстрее!
ride2hell [Дек 27, 2013 в 03:53 ]
лит был надет? какой шлем был? Поправляйся!